SERVICIOS
En Centro Láser Rosario, ofrecemos una variedad de servicios especializados para satisfacer todas tus necesidades dentales. Nuestro equipo de profesionales altamente capacitados y con experiencia está comprometido a proporcionarte opciones de tratamiento personalizadas y cuidados de primer nivel.

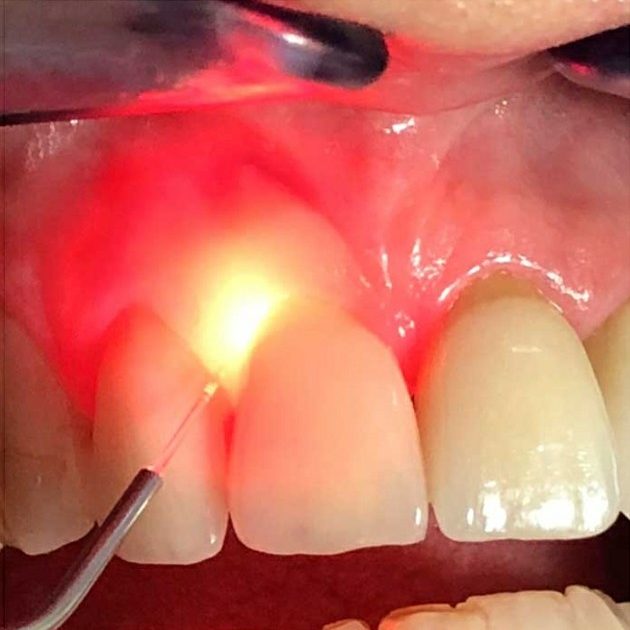
Estomatología y Odontología Láser
Prof. Mag. Od. Fabiana Mardenlli
Nos ocupamos del diagnóstico y tratamiento de las enfermedades de la boca y tejidos que la componen. Realizamos tratamientos de fotobiomodulación láser para recuperar funciones de glándulas salivales, fibras nerviosas, neuralgias, dolores musculares y articulares, biopsia de tejidos blandos y duros, tratamientos de encías y diseño de sonrisa, terapia fotodinámica para descontaminación y fototermocoagulación de hemangiomas y lesiones vasculares bucales.

Implantología
Od. Alejandro Vigna
Realizamos tratamientos con implantes dentales para reemplazar dientes perdidos o faltantes. Los implantes dentales son dispositivos de titanio que se integran con el hueso maxilar y sirven como bases sólidas para la colocación de coronas, puentes o prótesis implantosoportadas.

Odontopediatría
Od. Especialista en Odontopediatría
Gisela Romeo
Atención dental especializada para niños, que incluye el cuidado preventivo, tratamiento de caries, selladores de fosas y fisuras, y educación sobre hábitos de higiene bucal adecuados para una salud dental óptima desde una edad temprana.

Desórdenes Temporo-mandibulares
Prof. Mag. Od. Fabiana Mardenlli
Ya sean dolores articulares con limitación de la función, asimetrías internas por desplazamiento de disco, dolor miofascial, o alteraciones degenerativas e inflamatorias de la articulación temporo-mandibular, tratamos todos los trastornos trabajando en interdisciplina con kinesiología, posturología, oclusión, Láser terapia y psicoterapia.

Ortodoncia
Prof. Mag. Od. Fabiana Mardenlli
Realizamos tratamientos de ortodoncia asistida por tecnología laser que acelera los tiempos del proceso de movimiento dental de reposición y reabsorción necesarios para poder alinear y nivelar la oclusión. Ofrecemos al paciente un tratamiento integral y de máximo confort para que la experiencia odontológica sea óptima.

Periodoncia
Prof. Mag. Od. Fabiana Mardenlli
Od. Alejandro Vigna
Realizamos estética de encías posterior a tratamientos de ortodoncia, alargamiento de coronas clínicas, tratamiento de gingivitis y descontaminación de bolsas periodontales, detartraje y blanqueamiento dental con láser de diodo, obteniendo resultados más prolongados en el tiempo y más efectivos que con técnicas convencionales.

Cirugía Maxilo-facial
Od. Mauricio Viccei
Realizamos tratamiento de enfermedades adquiridas de origen tumorales, degenerativas o traumáticas de la boca, de los huesos maxilares y de los dientes que requieran de una intervención quirúrgica ya sea convencional o con láser de diodo y erbio.

Endodoncia
Od. Adrián Belbuzzi
Endodoncias realizadas con descontaminación láser garantizan el éxito del tratamiento, especialmente en dientes que han sido muy dañados o tratados anteriormente con evolución desfavorable, dolor, formación de lesiones o quistes periapicales.

Estética Dental
Od. Adrián Belbuzzi
Es la rama de la odontología que se ocupa de la combinación de arte y ciencia destinada a desarrollar y a dar énfasis a la belleza y armonía dento-facial; estética de labios y diseño de la sonrisa.
Realizamos por ello tratamientos de estética orofacial, re-perfilado labial, estética de encías y dientes, con tecnología láser de avanzada.
